Power Tejons Dunnit & spol.
Úvod
Foto Jirky Zacha
2009
2008
2007
Zuby
Kopyta
333
RTG
pravá zadní
levá zadní
pravá přední
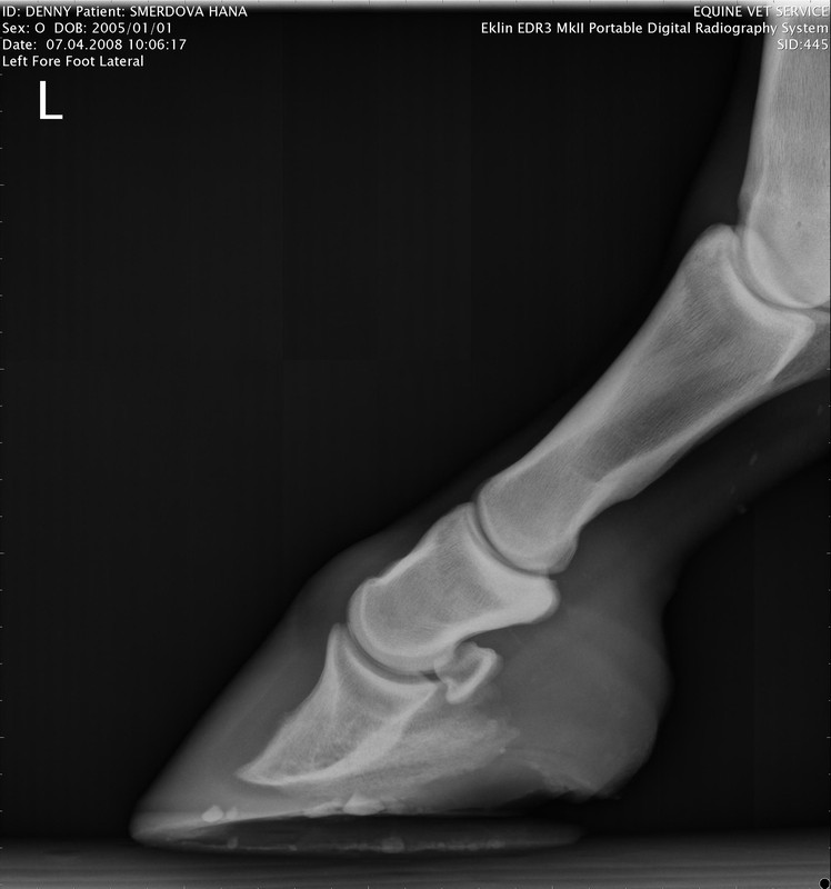
levá přední
Video
Kontakt
Předchozí foto
|
Zpět na náhledy
| Další foto
RTG Levá přední (07.04.2008)
Předchozí foto
|
Zpět na náhledy
| Další foto